Home
About
Services
Root Canal Treatment (RCT)
Crown & Bridge
Post & Core
Teeth Whitening / Bleaching
Laminates & Veneers
Braces Treatment
Certified Invisalign Provider
Complete & Partial Denture
Implant Supported Denture
Teeth Scaling & Polishing
Periosurgery
Root Planing
Periapical Surgery
Teeth Extraction
Wisdom Teeth Extraction
Teeth Jewellery
Retreatment Procedure
Laser Surgery
Tooth Spa
X-Ray Facilities
OPG
RVG
CT Scan
Our Team
Gallery
Our Testimonials
Contact
call emergency
+91-7389991048
Book your appointment
Gallery
Home
Gallery
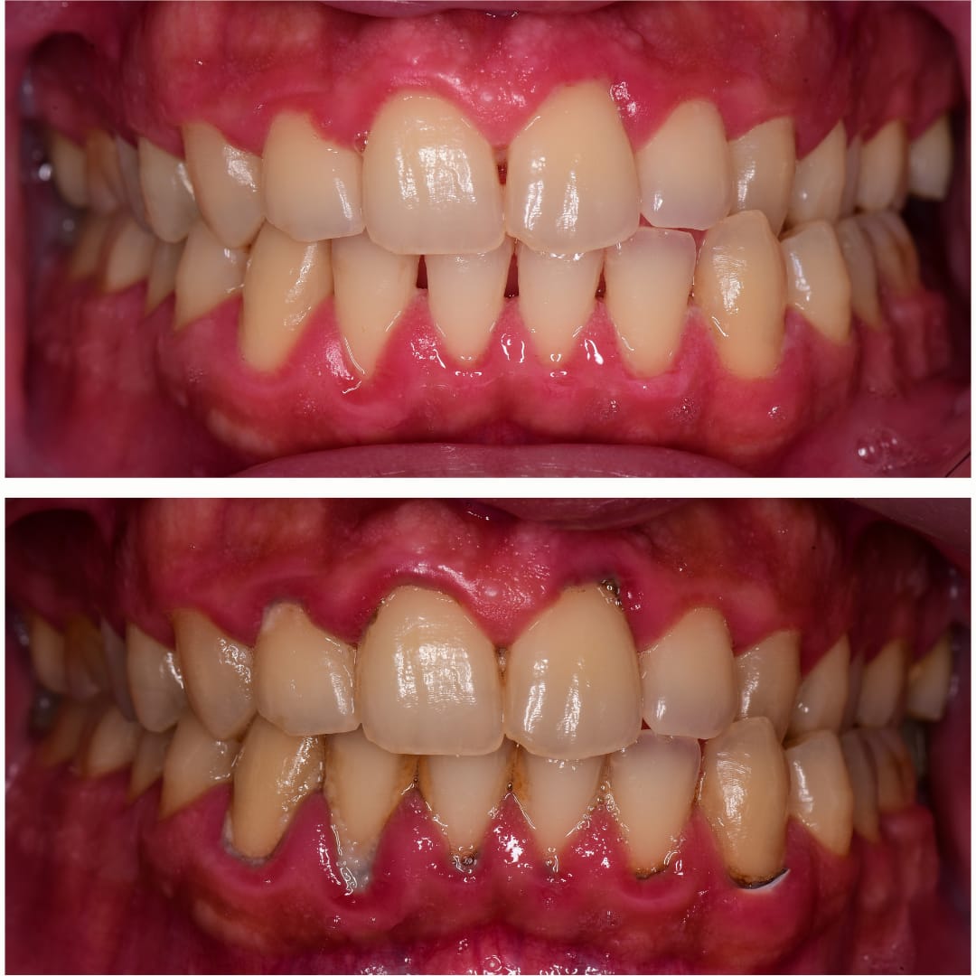
TEETH BLEACHING
Pre & Post Treatment Images
×
ROOT CANAL TREATMENT
Pre & Post Treatment Images
×
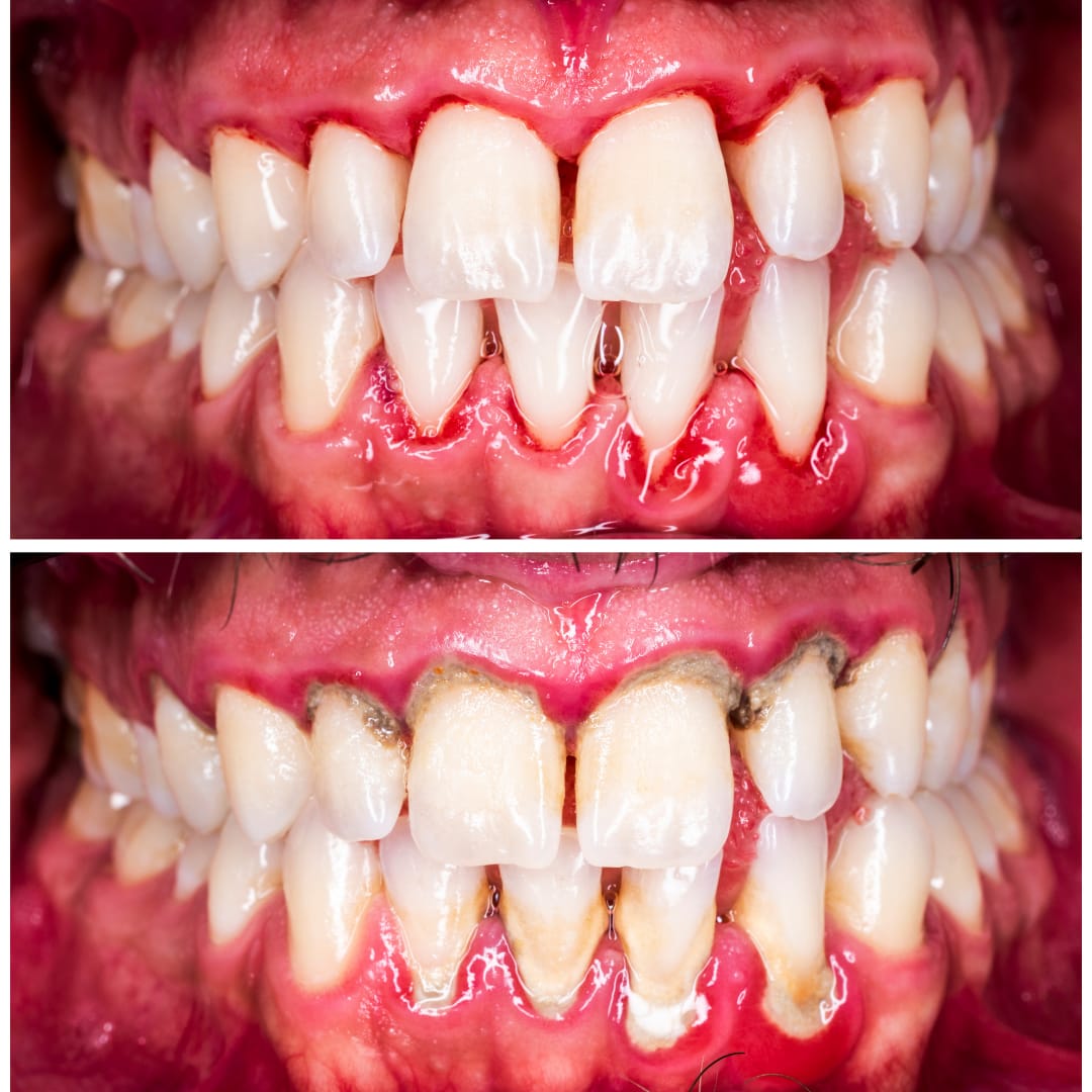
SCALING & ORAL PROPHYLAXIS
Pre & Post Treatment Images
×
BRACES TREATMENT
Pre & Post Treatment Images
×
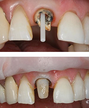
POST & CORE TREATMENT
Pre & Post Treatment Images
×
COMPLETE DENTURE
Pre & Post Treatment Images
×
IMPLANT SUPPORTED DENTURE
Pre & Post Treatment Images
×
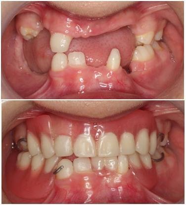
PARTIAL DENTURE
Pre & Post Treatment Images
×
CROWN & BRIDGE TREATMENT
Pre & Post Treatment Images
×
LAMINATES & VENEERS
Pre & Post Treatment Images
×
TOOTH JEWELLERY
Pre & Post Treatment Images
×
PERIOSURGERY
Pre & Post Treatment Images
×
TOOTH EXTRACTION
Pre & Post Treatment Images
×
Mohta Hospital,First floor,
Dental Unit, Joda, Odisha 758034
endoelite.dental@gmail.com
mundhraritika21@gmail.com
+91-7389991048
Facebook
Instagram
Youtube
back top